同济大学医学院发表Cell Res文章:第一个发现细胞是如何回应外界环境变化
发表时间:2017-08-10深圳子科生物(http://show.guidechem.com/zikerbio/)2017年08月10日报道:来自同济大学附属第十人民医院、同济大学医学院的研究人员发表了题为“Smad5 acts as an intracellular pH messenger and maintains bioenergetic homeostasis”的文章,首次揭示了Smad5存在不依赖于传统BMP信号的一个全新重要功能,这也是第一个发现细胞是如何回应外界环境变化,并通过捕捉胞内酸碱度的变化以维持细胞内代谢稳态的重要细胞学事件。
这一研究成果公布在Cell Research杂志上,同济大学医学院章小清教授、刘玲研究员和诺华生物医学研究中心的向斌博士是这篇论文的共同通讯作者。论文的第一作者为章小清教授组的博士研究生房玉江。
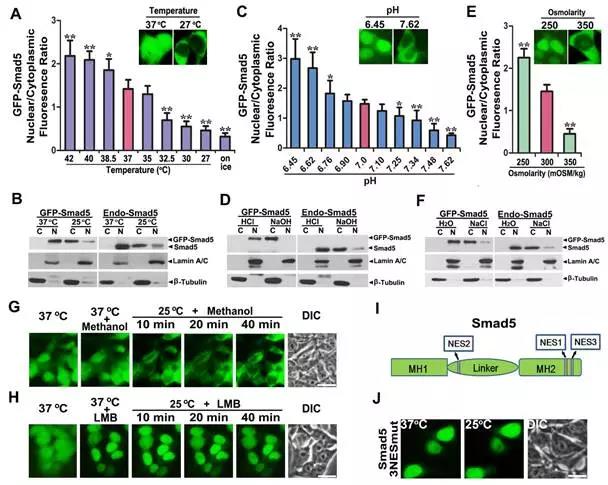
首次解析Smad5可以感受温度、胞外pH 及渗透压的变化并通过调整其出核速率决定核浆定位
生物体总是处于不断变化的细胞内外环境中,譬如温度、细胞内外酸碱度及渗透压等。因此,所有生物体都需要感受这些不断变化的内外界环境并做出相应的反应,以维持细胞正常的生理功能。
章小清团队研究人员在实验中偶然发现,位于经典BMP信号通路下游的转录因子Smad5可以感受温度、胞外酸碱度及渗透压的变化。高温、胞外酸化及低渗条件会促使Smad5在细胞核内聚集;而在低温、胞外碱化及高渗条件下,Smad5会迅速从细胞核转移到细胞质中。进一步研究发现,温度、胞外酸碱度及渗透压都可以引起细胞内酸碱度的改变,Smad5可以迅速感受细胞内酸碱度的变化进而引起其核浆分布的改变。
另外,敲除Smad5会引起细胞内能量稳态的紊乱并干扰正常发育过程。Smad5可以与糖酵解第一个限速酶HK1结合,增强HK1的酶活性,加速糖酵解和后续线粒体的氧化磷酸化。因此,Smad5可以迅速捕捉到胞内酸碱度的细微变化,通过核浆穿梭来调节细胞内能量稳态。
这项研究首次揭示了Smad5存在不依赖于传统BMP信号的一个全新重要功能,这也是第一个发现细胞是如何回应外界环境变化,并通过捕捉胞内酸碱度的变化以维持细胞内代谢稳态的重要细胞学事件。该研究可以增强我们对细胞内酸碱度和代谢稳态是如何建立及维持的理解,提高我们对细胞内酸碱度和代谢在胚胎发育中作用的认识,并为进一步的药物研发、细胞移植及治疗打下坚实的基础。


